During our first funded period (2019-2024), ACED established a broad and diverse research portfolio spanning three research domains – biology, technology, and translation to trials.
In the first five years, we've awarded 38 grants that each required collaboration across at least two ACED member centres. We've awarded the following types of funding:
provide long-term support for broad, multidisciplinary research where the aim is to answer an interrelated set of questions within early detection of cancer fields.
aim to fund exceptional science that builds on previously established research with supporting data and a strong focus on innovation
provide seed funding to support new and pioneering research ideas and pilot studies of high scientific risk, with no requirement for extensive preliminary data
support early career researchers establishing their independence, helping to expand their multidisciplinary skills, providing mentorship with eminent researchers in the field, and to obtain preliminary data for future independent fellowship applications

Major programme award
Aims to study which immune cells are responsible for cancer surveillance, the markers of whether they have seen early (or pre-) cancer and if they could have been detected years before clinical diagnosis. It includes an ambitious array of analytic modalities brought together by cutting edge machine learning.
Project leads: Jamie Blundell, Robert Bristow, Evan Lind, Parag Mallick, Benny Chain
Collaborating institutions: University of Cambridge, University of Manchester, OHSU, Stanford University (prior partner), UCL

Major programme award
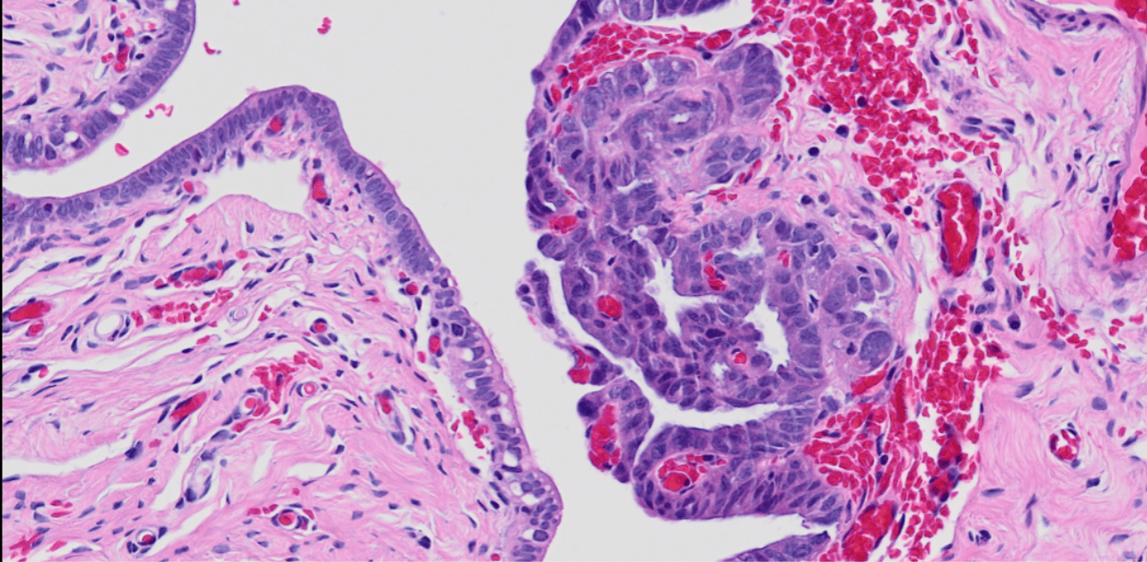
The team is identifying the early changes that occur in the fallopian tubes preceding ovarian cancer to establish strategies for identification of patients at high risk of developing ovarian cancer and for prevention of disease progression.
Project leads: Filipe Correia Martins, Christine Schmidt, Sharon Pitteri, Michelle Gomes, Marc Tischkowitz
Collaborating institutions: UCL, University of Manchester, Stanford University (prior partner), OHSU, University of Cambridge

Project award
Aims to improve how we can predict the risk of cancer in patients who visit their doctor with new symptoms. Using data from medical records, this will help doctors decide when to refer patients for further tests to check for cancer.
Project leads: Yoryos Lyratzopoulos, Antonis Antoniou, Ruth Etzioni
Collaborating institutions: UCL, University of Cambridge, OHSU

Project award
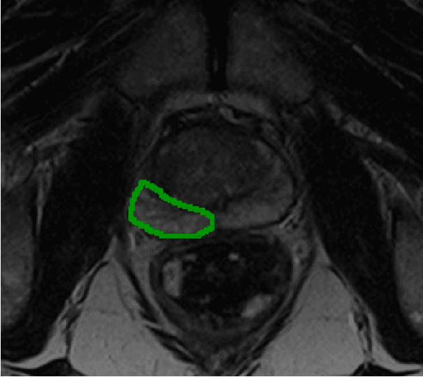
The team is using deep learning methods to connect prostate cancer imaging with past tissue evidence, enabling personalised targets to be forecasted without requiring a biopsy.
Project leads: Yipeng Hu, Geoffrey Sonn
Collaborating institutions: UCL, Canary Center at Stanford (prior partner)

Project award
This study aims to create machine learning tools that will analyse histopathological information with genetic signatures known to be correlated with poor outcomes. This will help to determine if the lesions have the potential to become aggressive cancer.
Project leads: Rajan Kulkarni, Amaya Viros
Collaborating institutions: OHSU, University of Manchester

Project award
The project aims to build a high-resolution map of cellular and molecular transition along the breast tumour development. Using this map, the team wants to understand the impact of germline mutations on tumour initiation and disease progression.
Project leads: Walid Khaled, Hisham Mohammed
Collaborating institutions: University of Cambridge, OHSU

Pilot award
Aims to identify new methods for early detection of hereditary kidney cancer by studying the molecular information in blood platelets from both hereditary and non-hereditary kidney cancer patients.
Project leads: Emma Woodward, Alice Fan, Eamon Maher, James Whitworth
Collaborating institutions: University of Manchester, Canary Center at Stanford (prior partner), University of Cambridge

Pilot award
This team is developing AI software that analyses MRI images collected in patients on active surveillance over time to track changes in prostate tumours. The aim is to detect cancer progression early and automatically.
Project leads: Dean Barratt, Geoffrey Sonn
Collaborating institutions: University College London, Canary Center at Stanford (prior partner)

Pilot award
The team is developing a blood analysis platform using nanoparticles to isolate tumour-specific molecules, making it easier to discover new biomarkers for cancer detection.
Project leads: Marilena Hadjidemetriou, Parag Mallick
Collaborating institutions: University of Manchester, Canary Center at Stanford (prior partner)

Pilot award
The team is studying early immune responses in ovarian cancer to develop a blood test to detect specific immune cells.
Project leads: James Brenton, Alice Fan
Collaborating institutions: University of Cambridge, Canary Center at Stanford (prior partner)

Pathway award
Our first pathway award is helping to create a new way to predict cancer risk by studying changes in DNA methylation over time and studying how these changes relate to aging and cancer development.
Project leads: Adriana Fonseca, Jamie Blundell, Hisham Mohammed
Collaborating institutions: University of Cambridge, OHSU

Pathway award
The team is investigating a new way of standardising MRI scans across hospitals, which will help better identify aggressive prostate cancer and reduce unnecessary treatment.
Project leads: Rafat Chowdhury, Shonit Punwani
Collaborating institutions: UCL, DKFZ
For the next funded period (2025-2030), ACED members have co-developed large scale research programmes that capitalise on the unique strengths and expertise across all member centres.
These research themes have been prioritised as some of the biggest challenges in cancer early detection, where ACED is uniquely placed to accelerate progress.
Our four major research programmatic themes are:
Exploiting the immune system for cancer early detection
This theme investigates using the adaptive immune system as a means for early cancer detection by characterising immune signatures that associate with early cancer development.
Theme leads: Jamie Blundell (University of Cambridge), Robert Bristow (University of Manchester)
Understanding and addressing cancer inequalities in early detection
This theme addresses some of the most pressing questions relevant to reducing inequalities in cancer screening and early detection. The theme will involve diverse groups and assess how factors within those populations impact risk evaluation to improve screening uptake and equity.
Theme leads: Sam Merriel (University of Manchester), Tim Rebbeck (Dana Farber Cancer Institute)
Using high risk hereditary cancer predisposition populations to understand early disease and to develop and evaluate early detection and interception strategies
This theme will harness the power of high-risk populations as model biological systems to study the early events critical in tumorigenesis, evaluate promising early detection markers, develop cohorts ideal for interception trials, and refine and define personalised cancer risk.
Theme leads: Emma Woodward (University of Manchester), Sapna Syngal (Dana Farber Cancer Institute)
Detecting and understanding pre-cancerous changes in order to identify targets for preventive intervention
This theme focuses on studying the biology of pre-cancerous changes in order to intercept at the earliest time possible and prevent progression to cancer, while avoiding overtreatment.
Theme leads: Rebecca Fitzgerald (Cambridge), James Reading (UCL)
If you’re interested in hearing more about ACED, have a question about funding opportunities or would like to discuss partnerships, we’d love to hear from you.
ACED@cancer.org.uk